기사입력시간 21.10.20 07:23최종 업데이트 21.10.20 15:04

제보

화이자 백신 맞고 사망한 환자 부검 결과는?…염증 없는 근세포 괴사 '특징'

JKMS에 백신-심근염 인과성 인정된 첫 사망 사례 부검 논문 발표…좌심실서 수축대괴사도 확인

 
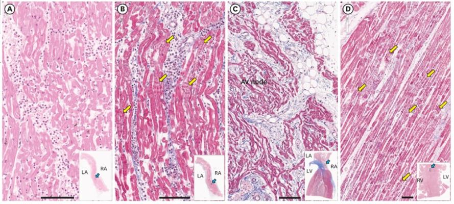
연구팀은 사망자의 심장을 관찰, 조직병리학 소견을 내놨다. A=심방 중격의 헤마톡실린 및 에오신 염색은 호중구가 우세한 대규모 염증 침윤을 보여준다. B=노란색 화살표는 수축대괴사(contraction band necrosis)를 보여준다. C=방실 결절 영역은 심방 심근염이 결절의 표층까지 확장된 것을 보여준다. D=심실 심근에는 염증성 침윤물이 없지만 특히 좌심실 벽과 심실 중격에 수축대괴사의 여러 큰 병소(노란색 화살표)가 있다. 사진=Myocarditis-induced Sudden Death after BNT162b2 mRNA COVID-19 Vaccination in Korea: Case Report Focusing on Histopathological Findings, JKMS.

[메디게이트뉴스 하경대 기자] 국내에서 코로나19 화이자 백신을 맞고 사망한 환자의 첫 부검 결과가 발표됐다. 해당 사망자는 질병관리청이 코로나19 백신 예방접종과 심근염의 인과관계를 인정한 국내 첫 사례다.  
 
사망자는 심장의 조직병리학적 소견에서 호중구와 조직구가 우세한 고립성 심방 심근염 증세를 보였으며 염증성 침윤을 동반하지 않는 근세포의 산재된 단일 세포 괴사 증상을 보였다.

19일 질병관리청에 따르면 코로나19 백신 접종 뒤 사망 신고된 사례는 현재까지 1110건에 달하며 아나필락시스 등 중대한 이상반응을 포함한 심각한 부작용 신고 사례는 1만2046건이다. 예방접종피해조사반이 지난 8일까지 33차례 회의를 통해 총 777건의 사망 신고 사례를 심의한 결과 백신과 인과성이 인정된 사례는 단 2건이다.

심장 비대 이외 별다른 외상 없어…염증성 침윤물·산발적 세포 괴사 관찰
 
국방부 범죄수사사령부 최상준 국방과학수사연구원(법의학자)과 인천세종병원 병리학교실 연구팀은 18일 대한의학회지(JKMS)에 '국내 코로나19 예방접종 후 심근염으로 인한 돌연사: 조직병리학적 소견을 중심으로 한 증례보고'를 발표했다.
 
사망자는 22세 남성으로 군인 신분이었으며 국내에서 백신과 심근염의 인과성이 인정된 첫 사망 사례였다. 그는 사망 17개월과 7개월 전 신체 검사에서 혈압 상승(각각 156/94mmHg 및 128/74mmHg) 소견은 있었지만 건강한 상태였다.
 
그러나 화이자 1차 접종 5일 후인 6월 13일 오전 1시 담배를 피우던 중 동료에서 흉통을 호소하고 다음날 오전 8시 의식을 잃은 채 발견됐다. 곧 바로 응급실로 이송됐지만 심실세동 소견을 보였고 2시간 동안 심폐소생술을 시행했지만 사망했다.
 
부검은 사망 후 24시간 만에 이뤄졌으나 심장 비대 이외에 별다른 이상 상태가 없었다. 사망자는 영양 상태가 양호했으며 외부 검사에서 눈에 띄는 부상이 없었다. 심장의 무게는 470g으로 심낭은 섬유소 침착이나 삼출물 없이 매끄러웠고 관상 동맥은 개방돼 있었다. 심장 판막과 심근의 두께도 정상이었으며 심방이나 심실의 확장도 없었다.
 
심근은 뚜렷한 괴사나 섬유증 없이 균일하게 갈색이었으나 현미경 검사에서 심근 내 호중구와 조직구가 우세한 확산 염증 침윤이 관찰됐다. 염증성 침윤물은 심방과 동방, 방실 결절 주변에서 우세한 반면, 심실 영역은 염증 세포가 전혀 없었다.
 
또한 염증을 동반하지 않은 근세포의 산발적인 단일 세포 괴사도 관찰됐으며 수축대괴사(contraction band necrosis, CBN)는 심근 전체에서 발견됐는데 주로 좌심실에서 확인됐다.
 
염증 없는 근세포의 단세포 괴사, 코로나19 독특한 병리학적 특징

연구팀은 염증성 침윤이 림프구가 아닌 호중구와 조직구와 관련이 있다는 점에서 바이러스나 면역 매개 심근염과 다르다고 판단했다.
 
주로 염증성 침윤물 부근에서 근세포 괴사나 변성이 관찰됐는데 심근의 호중구 침윤은 흔하지 않고 사망자가 이전에 감염성 심근염 징후나 감염성 심내막염, 폐렴의 전파가 없었기 때문이다. 결과적으로 사이토카인 매개 또는 조직구 연결 면역학적 손상이 관련돼 있을 수 있다는 게 전문가들의 견해다.
 
특히 염증이 없는 근세포의 단세포 괴사 증상 또한 눈여겨 볼 대목이다. 사망자는 심방 전체의 여러 부위에서 단세포 괴사가 관찰됐는데 이전에도 코로나19로 사망한 이들의 심혈관 부검 소견에 따르면 비슷한 단세포 괴사가 발견된다.
 
연구팀은 "염증이 없는 근세포의 단세포 괴사는 코로나19의 독특한 병리학적 특징일 수 있다"며 "따라서 코로나19 백신 접종으로 인한 심근 손상은 조직학적으로 심근염뿐만 아니라 심근 병변과 유사한 산재성 단세포 괴사로 나타날 수 있다"고 설명했다.
 
반면 또 다른 주요 조직학적 소견인 좌심실 수축대괴사(CBN) 현상은 백신 접종과의 연관이 없을 확률이 높다는 결론이 나왔다. CBN은 일반적으로 비가역적 근세포 손상 후 관찰되며 허혈성 심장질환이나 카테콜아민 과잉 상태와 관련이 있기 때문이다.
 
연구팀은 "CBN 현상은 사망자를 살리기 위한 소생술 중 심실세동이나 카테콜아민 투여의 결과로 발생했을 수 있다"며 "CBN의 존재를 설명할 수 있는 관상동맥 동맥경화증이나 미세혈전증의 증거가 없다"고 전했다.
 
이번 연구는 질병관리청이 코로나19 백신 예방접종과 심근염의 인과관계를 인정한 첫 국내 사례를 부검한 결과라는 점에서 의의가 있다. 이를 통해 백신 접종 후 심각한 부작용의 조직학적 예시를 제공할 수 있기 때문이다.
 
반면 연구팀은 이번 사례가 백신 유형과 관련이 있는지, 아니면 특정 백신 성분과 관련이 있는지는 알 수 없으며 백신 접종과 심근염의 관계를 명확히 알기 위해선 추가 증례에 대한 종합적인 임상 및 병리학적 평가가 필요하다고 제언했다.

하경대 기자 (kdha@medigatenews.com)

전체 뉴스 순위

칼럼/MG툰

English News

전체보기

유튜브

전체보기

사람들

이 게시글의 관련 기사